Research Projects / MRI
MRI Research
Multiphoton MRI
Conventional MRI assumes one‐photon excitation. That is, for each nuclear spin, a single photon accompanies the transition between energy states. This photon must resonate near the Larmor frequency. In contrast, multiphoton resonances generate MRI signals by using multiple magnetic field frequencies, none of which is near the Larmor frequency. Only the total energy absorbed by a spin must correspond to the Larmor frequency.

Digital Programmable Coils (ADAPT Coil)
There are 118 known elements. Nearly all of them have NMR/MRI active isotopes and at least 39 different nuclei have biological relevance. Despite this, most of today’s MRI is based on only one nucleus - 1H. To facilitate imaging all potential nuclei, we are developing digital programmable coils to excite and receive signals from any NMR/MRI active chemical elements.

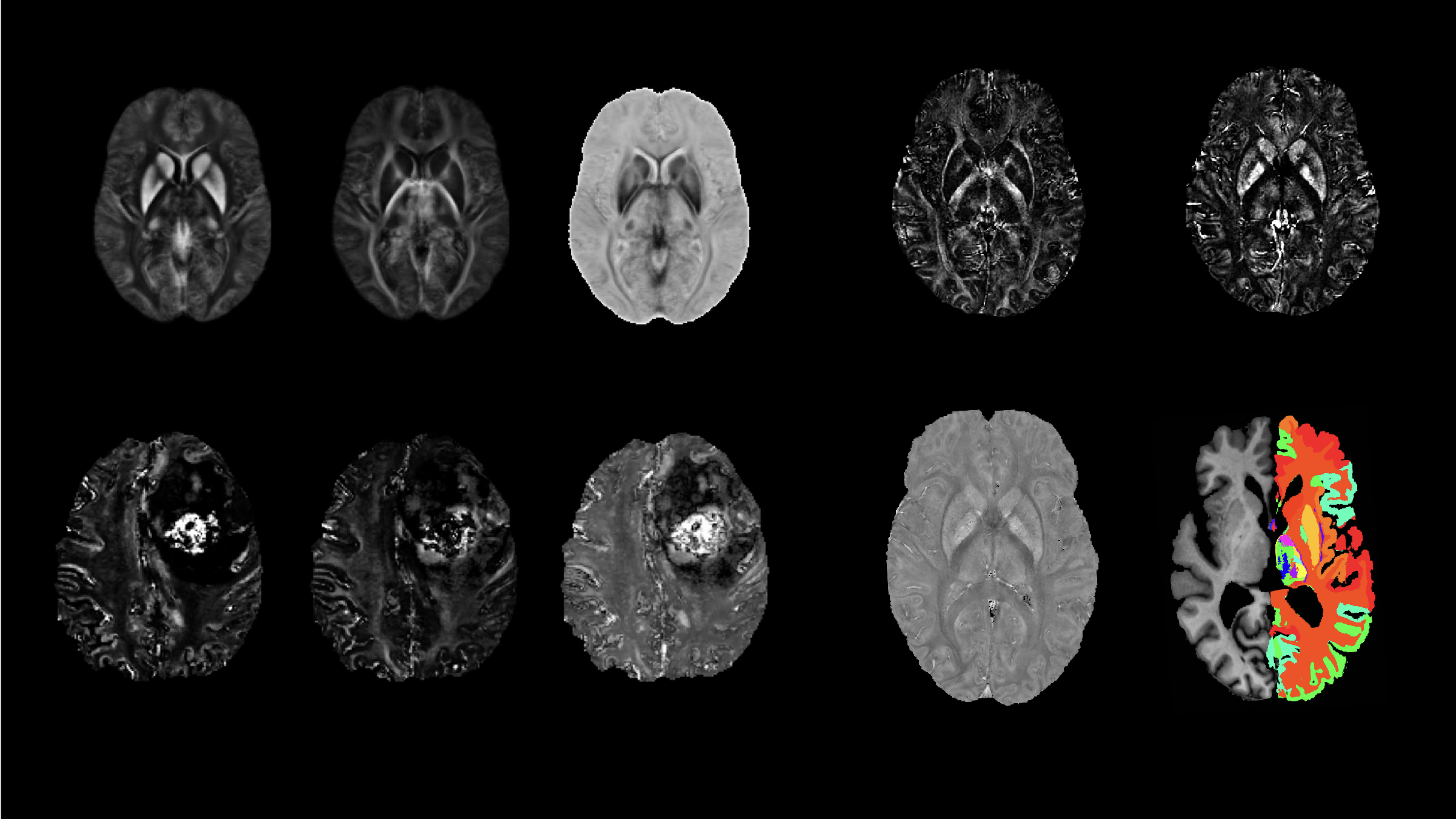
Magnetic Susceptibility in MRI
Magnetic susceptibility is a physical quantity that defines how strongly a material can be magnetized by an applied magnetic field. We are developing MRI-based methods to measure the spatial distribution of magnetic susceptibility in biological tissues.

7 T MRI
We are involved in a project funded by NIH BRAIN Initiative to develop a next-generation human brain MRI scanner that utilizes 7-Tesla magnetic field. We develop hardware and pulse sequences for the scanner. We also investigate how this NexGen 7T scanner can be best utilized to study brain diseases and disorders.
Image Reconstruction
We employ signal processing, optimization and AI techniques to improve the image quality of MRI scans. We combine these techniques with physical principles of MRI to generate new image contrasts and study the brain physiology and diseases.